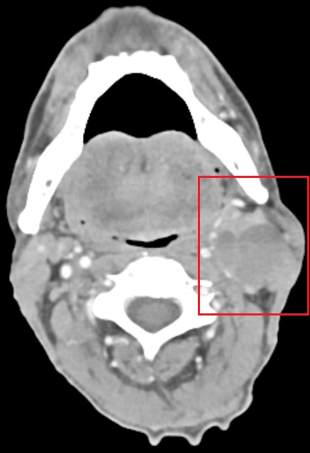
Ασθενής 63 ετών πρσήλθε με δυσκαταποσία και τραχηλική διόγκωση με επίταση της συμπτωματολογίας σε διάστημα τεσσάρων εβδομάδων. Η βιοψία της βλάβης στα πλαίσια πανενδοσκόπησης κατέδειξε την ύπαρξη πλακώδους καρκινώματος στο αριστερό ημιμόριο της βάσης της γλώσσας (Εικ.1). Η αξονική τομογραφία κατέδειξε την ύπαρξη συμπλέγματος λεμφαδενικών μεταστάσεων αριστερά με κυστική εκφύλιση (Εικ. 2). Μετά από λεπτομερή ενημέρωση του ασθενούς πραγματοποιήθηκε εκτομή του όγκου με τη βοήθεια μικροσκοπίου και διαστοματικής προσπέλασης με Laser CO2 καθώς και αμφοτερόπλευρος λεμφαδενικός καθαρισμός. Η ιστολογική εξέταση του όγκου κατέδειξε την ύπαρξη ενός Τ1 Ν2b G3 R0 p16 (-) καρκινώματος εκ πλακώδους επιθηλίου στη βάση της γλώσσας με βάθος διήθησης 9 mm κι ελάχιστη απόσταση 7mm από τα όρια εκτομής. Ο ασθενής έλαβε εξιτήριο την 3η ημέρα σε άριστη κατάσταση και σιτίζεται από το στόμα χωρίς πρόβλημα από την 7η μετεγχειρητική ημέρα.

