
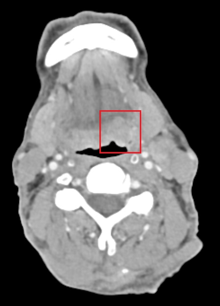
Λαρυγγεκτομή σε καρκίνο λάρυγγα με πρόσθια διάσπαση του θυρεοειδούς χόνδρου (T4a)
Ασθενής 51 ετών πρσήλθε με δυσφωνία με επίταση της συμπτωματολογίας
Τακτικός καθηγητής Ωτορινολαρυγγολογίας, Χειρουργικής Κεφαλής & Τραχήλου στη μεγαλύτερη ΩΡΛ Κλινική της Γερμανίας (Ερλάνγκεν-Νυρεμβέργη)
Επίκουρος Καθηγητής της Ιατρικής Σχολής του Αριστοτελείου Πανεπιστημίου Θεσσαλονίκης
Ιδιώτης Ιατρός στη Θεσσαλονίκη
Τακτικός καθηγητής Ωτορινολαρυγγολογίας, Χειρουργικής Κεφαλής & Τραχήλου στη μεγαλύτερη ΩΡΛ Κλινική της Γερμανίας (Ερλάνγκεν-Νυρεμβέργη)
Ιδιώτης Ιατρός στη Θεσσαλονίκη
Ελάχιστα επεμβατική παρωτιδεκτομή για όγκους σιελογόνων αδένων με τη μέθοδο της εξωκάψιας εκτομής (extracapsular dissection)
Ελάχιστα Επεμβατική παρωτιδεκτομή για όγκους σιελογόνων αδένων με τη μέθοδο της εξωκάψιας εκτομής
Τακτικός καθηγητής Ωτορινολαρυγγολογίας, Χειρουργικής Κεφαλής & Τραχήλου στη μεγαλύτερη ΩΡΛ Κλινική της Γερμανίας (Ερλάνγκεν-Νυρεμβέργη)
Επίκουρος Καθηγητής της Ιατρικής Σχολής του Αριστοτελείου Πανεπιστημίου Θεσσαλονίκης
Ιδιώτης Ιατρός στη Θεσσαλονίκη
Τακτικός καθηγητής Ωτορινολαρυγγολογίας, Χειρουργικής Κεφαλής & Τραχήλου στη μεγαλύτερη ΩΡΛ Κλινική της Γερμανίας (Ερλάνγκεν-Νυρεμβέργη)
Ιδιώτης Ιατρός στη Θεσσαλονίκη
Μεγάλη χειρουργική εμπειρία σε περιπτώσεις υψηλού βαθμού δυσκολίας
Ελάχιστα επεμβατική τεχνική αντιμετώπισης σιελολιθίασης ή στενώσεων με εμπειρία στο πιο διάσημο Κέντρο διεθνώς
Χειρουργική και φαρμακευτική. Ο μοναδικός ΩΡΛ με πιστοποίηση στην Ελλάδα
Ελάχιστα επεμβατική μικροχειρουργική/ενδοσκοπική ενδοωτιαία προσπέλαση
Ο Κωνσταντίνος Μαντσόπουλος, Τακτικός Καθηγητής ΩΡΛ Χειρουργικής κεφαλής και τραχήλου, αριστούχος της Ιατρικής Σχολής ΑΠΘ, εργάστηκε επί 15ετία στη μεγαλύτερη ΩΡΛ-Κλινική της Γερμανίας, στην Πανεπιστημιακή Κλινική Ερλάνγκεν-Νυρεμβέργης, η οποία αποτελεί το πιο διάσημο -παγκοσμίως- Κέντρο σιελογόνων αδένων, το μεγαλύτερο Ογκολογικό Κέντρο κεφαλής και τραχήλου στη Γερμανία. Είναι επίσης, το πιο εξειδικευμένο Κέντρο Υπερηχογραφίας κεφαλής και τραχήλου στην Ευρώπη, το μεγαλύτερο Κέντρο κοχλιακών εμφυτευμάτων στη Βαυαρία, η ΩΡΛ-Κλινική με τις περισσότερες θυρεοειδεκτομές στη Γερμανία, πρωτοπόρο κέντρο, παγκοσμίως, στην θεμελίωση της ενδοσκοπικής χειρουργικής των παραρρινίων κόλπων και στη χρήση Laser στην ΩΡΛ ογκολογία.
Ο ιατρός είναι Πρόεδρος της Εταιρείας σιελογόνων αδένων και της ομάδας εργασίας θυρεοειδούς/παραθυρεοειδών αδένων της Γερμανικής ΩΡΛ Εταιρείας (ο πρώτος μη Γερμανός ιατρός με την ιδιότητα αυτή στην ιστορία της Εταιρείας), πιστοποιημένος εκπαιδευτής υπερηχογραφίας κεφαλής και τραχήλου και φέρει τίτλο Υποειδικότητας «Πλαστική Χειρουργική προσώπου» και «Φαρμακευτική ογκολογία κεφαλής και τραχήλου».





Ο καθηγητής ΩΡΛ – Χειρουργικής κεφαλής και τραχήλου Κωνσταντίνος Μαντσόπουλος διενήργησε προσωπικά, πάνω από 10000 χειρουργικές επεμβάσεις με πρωτοποριακές τεχνικές και τεράστια εμπειρία στους παρακάτω τομείς:
ΩΡΛ
ΩΡΛ
ΩΡΛ
ΩΡΛ
ΩΡΛ
ΩΡΛ
ΩΡΛ
ΩΡΛ
σε ελληνικά & διεθνή συνέδρια

Ασθενής 51 ετών πρσήλθε με δυσφωνία με επίταση της συμπτωματολογίας

Ασθενής 63 ετών πρσήλθε με δυσκαταποσία και τραχηλική διόγκωση με

Μεγάλη τιμή αποτέλεσε η πρόσκληση που έλαβε ο ιατρός κ.

To Ετήσιο Βραβείο της Γερμανικής Εταιρίας Ιατρικής Υπερηχοτομογραφίας (DEGUM) απονεμήθηκε στις 13.11.2015 στον Δρ. Κωνσταντίνο Μαντσόπουλο, για την ακαδημαϊκή δραστηριότητά του στον Τομέα της Υπερηχοτομογραφίας

Κατά την 15ετή θητεία του στην Πανεπιστημιακή ΩΡΛ-Κλινική του Erlangen, ο ιατρός Κωνσταντίνος Μαντσόπουλος εκπαίδευσε και μετεκπαίδευσε χιλιάδες φοιτητές και ΩΡΛ Ιατρούς στο ανατομείο και
Φωτογράφηση site: Eleni Chrysochoidou