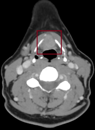
Ασθενής 51 ετών πρσήλθε με δυσφωνία με επίταση της συμπτωματολογίας σε διάστημα δύο μηνών. Η βιοψία της βλάβης στα πλαίσια πανενδοσκόσης κατέδειξε την ύπαρξη πλακώδους καρκινώματος στο πρόσθιο τριτημόριο αμφότερων των γνησίων και των νόθων φωνητικών χορδών. Η αξονική τομογραφία κατέδειξε την ύπαρξη μίας χωροκατακτητικής εξεργασίας με προσβολή της πρόσθιας εντομής και εκτεταμένη διάσπαση του θυρεοειδικού χόνδρου (Εικόνα). Μετά από λεπτομερή παρουσίαση του περιστατικού στο ογκολογικό συμβούλιο συστήθηκε στον ασθενή και πραγματοποιήθηκε με επιτυχία αφαίρεση του όγκου υπό τη μορφή λαρυγγεκτομής με τοποθέτηση φωνητικής πρόθεσης και αμφοτερόπλευρος λεμφαδενικός καθαρισμός. Ο ασθενής έλαβε εξιτήριο την 7η μετεγχειρητική ημέρα σε άριστη κατάσταση.
